
Correcting Tongue and Lip Tie
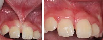
Correcting tongue and lip tie involves addressing an overly tight, thick, or short frenum, a tissue connecting the tongue, lip, or cheek, which can cause gum recession and gaps between teeth. A frenectomy, a simple surgical procedure to remove the frenum, typically takes less than fifteen minutes with minimal post-operative discomfort. A diastema, a large gap between teeth, often results from a thick or tight frenum and can be corrected with a frenectomy and orthodontics. A tight frenum can also restrict tongue motion, leading to gum recession and, in severe cases, speech issues. Removing this attachment restores proper tongue movement and eliminates gingival pull.





